Sahifa yuklanmoqda...
Tahlil natijalari
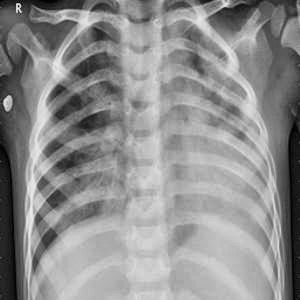
Yuklangan rasm
Tashxis natijasi

Bemor: Pnevmoniya kasalligiga chalingan

Aniqlik: 0.9818520545959473%

Klass ehtimolliklari
0.0004052907461300%
0.0079167317599058%
0.0098259299993515%
0.9818520545959473%

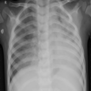
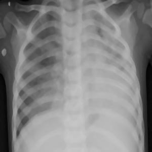
Filter natijalari
Gaussian Blur
CLAHE
Median
Threshold

Theme Builder

Choose the color mode for your app.

The perfect color mode for your app.

Choose the font family that fits your app.

Choose the gray shade for your app.

Choose the border radius factor for your app.